为何选择近距离治疗来治疗膀胱癌?
对于特定类型的膀胱癌,近距离治疗是一种广为人知的治疗方法,具有良好的临床效果。近距离治疗的重要优势是能够有机会保住膀胱,从而提高患者的生活质量。
对于特定类型的膀胱癌,近距离治疗是一种广为人知的治疗方法,具有良好的临床效果。近距离治疗的重要优势是能够有机会保住膀胱,从而提高患者的生活质量。


Luneray®施源器由一个集成的导管/插植针系统组成,可实施腹腔镜下膀胱癌微创近距离治疗。

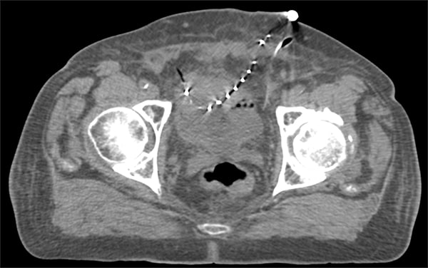
通过腹腔镜和膀胱镜联合,观察膀胱壁两侧。使用腹腔镜器械,清理膀胱壁以便后续插入导管,使用钛夹标记临床靶体积(CTV)边界,沿膀胱壁平行植入三至四根近距离治疗导管。导管两个末端均从患者皮肤中穿出
确定施源器相对于肿瘤和危及器官的位置


向靶区均匀传输剂量,同时避开危及器官
优化剂量分布的设计工作非常耗时。最新版Oncentra Brachy提供了一系列实用工具,可帮助简化许多重复性任务,例如勾画和重建。Oncentra Brachy让您能够节省时间,集中精力来确定最佳的剂量分布,以消灭癌细胞。

Oncentra Brachy还有助于提高治疗计划的准确性,让您能够轻松导航至任意层面,获取每个感兴趣区域的最相关信息。其中,针对重复性任务的模板解决方案-例如,新推出的植入物建模工具,以及受欢迎的施源器建模功能,有助于缩短植入物重建时间。DVH预设和ROI目录管理器可帮助提高准确性和再现性,减少风险因素。强大的逆向计划优化功能则可自动执行基于体积的计划,确保迅速高效地完成计划。
查看手册
* 并非在所有国家/地区都可用。

Chris Lee, MPE at Clatterbridge Cancer Centre, UK, on Flexitron
欢迎加入BrachyAcademy,以了解不断发展的癌症研究与治疗领域的最新进展!在这里,您还可以访问医学教育图书馆,并参加临床研讨会及针对全球领先医院的培训访问等活动。
www.brachyacademy.com


我们为患者以及在患者的治疗过程中给予帮助的人员创建了近距离治疗在线教育门户网站,以提供重要信息并帮助相关人员了解近距离治疗。
aboutbrachytherapy.com
Elekta Care是助您成功的合作伙伴。我们的人员和技术可使您的设备可靠高效地运行,同时帮助您获得最大化的产出。我们一直在您身边,为您提供高质量服务。
Elekta Care