为何选择近距离治疗来治疗妇科癌症?
欧洲肿瘤内科学会(ESMO)和美国近距离治疗学会(ABS)建议近距离治疗是局部晚期宫颈癌(LACC)根治性治疗的不可缺少的组成部分。
欧洲肿瘤内科学会(ESMO)和美国近距离治疗学会(ABS)建议近距离治疗是局部晚期宫颈癌(LACC)根治性治疗的不可缺少的组成部分。

1. C Marth et al. Cervical cancer: ESMO Clinical Practice Guidelines for diagnosis, treatment and follow-up Annals of Oncology 28 (Supplement 4): iv72–iv83, 2017.
2. AN Viswanathan et al. American Brachytherapy Society consensus guidelines for locally advanced carcinoma of the cervix. Part II: high-dose-rate brachytherapy. Brachytherapy. 2012 Jan-Feb;11(1):47-52
3. C Haie-Meder et al. Recommendations from Gynaecological (GYN) GEC-ESTRO Working Group* (I): concepts and terms in 3D image based 3D treatment planning in cervix cancer brachytherapy with emphasis on MRI assessment of GTV and CTV. Radiother Oncol. 2005 Mar;74(3):235-45.
4. R Poetter at al. Recommendations from gynaecological (GYN) GEC ESTRO working group (II): concepts and terms in 3D image-based treatment planning in cervix cancer brachytherapy-3D dose volume parameters and aspects of 3D image-based anatomy, radiation physics, radiobiology. Radiother Oncol. 2006 Jan;78(1):67-77.
5. TP Hellebust et al. Recommendations from Gynaecological (GYN) GEC-ESTRO Working Group: considerations and pitfalls in commissioning and applicator reconstruction in 3D image-based treatment planning of cervix cancer brachytherapy. Radiother Oncol. 2010 Aug;96(2):153-60.
6. JC Dimopoulos et al. Recommendations from Gynaecological (GYN) GEC-ESTRO Working Group (IV): Basic principles and parameters for MR imaging within the frame of image based adaptive cervix cancer brachytherapy. Radiother Oncol. 2012 Apr;103(1):113-22.
7. R Poetter et al. The EMBRACE II study: The outcome and prospect of two decades of evolution within the GEC-ESTRO GYN working group and the EMBRACE studies. Clin Transl Radiat Oncol. 2018 Jan 11;9:48-60.
8. C Charra-Brunaud et al. Impact of 3D image-based PDR brachytherapy on outcome of patients treated for cervix carcinoma in France: results of the French STIC prospective study. Radiother Oncol. 2012 Jun;103(3):305-13.
9. L Fokdal et al. Image guided adaptive brachytherapy with combined intracavitary and interstitial technique improves the therapeutic ratio in locally advanced cervical cancer: Analysis from the retroEMBRACE study. Radiother Oncol. 2016 Sep;120(3):434-440.

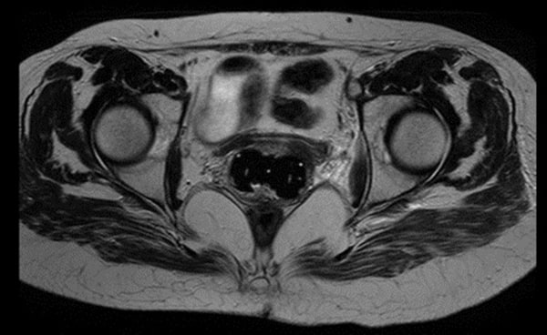
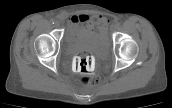
妇科施源器主要包括







优化剂量分布的设计工作非常耗时。最新版Oncentra Brachy提供了一系列实用工具,可帮助简化许多重复性任务,例如勾画和重建。Oncentra Brachy让您能够节省时间,集中精力来确定最佳的剂量分布。
Oncentra Brachy还有助于提高治疗计划的准确性,让您能够轻松导航至任意层面,获取每个感兴趣区域的最相关信息。其中,针对重复性任务的模板解决方案-例如,新推出的植入物建模工具,以及受欢迎的施源器建模功能,有助于缩短植入物重建时间。DVH预设和ROI目录管理器可帮助提高妇科近距离治疗的准确性和再现性。强大的逆向计划优化功能则可自动执行基于体积的计划,确保迅速高效地完成计划。
查看手册

* 并非在所有国家/地区都可用。
欢迎加入BrachyAcademy,以了解不断发展的癌症研究与治疗领域的最新进展!在这里,您还可以访问医学教育图书馆,并参加临床研讨会及针对全球领先医院的培训访问等活动。
www.brachyacademy.com


我们为患者以及在患者的治疗过程中给予帮助的人员创建了近距离治疗在线教育门户网站,以提供重要信息并帮助相关人员了解近距离治疗。
aboutbrachytherapy.com
Elekta Care是助您成功的合作伙伴。我们的人员和技术可使您的设备可靠高效地运行,同时帮助您获得最大化的产出。我们一直在您身边,为您提供高质量服务。
Elekta Care