作为放疗领域的创新先锋和领导者之一, Elekta Unity通过创新性的将⾼场磁共振和滑环式直线加速器进⾏等中⼼融合,开创了通过⾼场磁共振引导实时⾃适应治疗技术(MRgRT)治疗肿瘤的新规范,并为“难治性肿瘤”的治疗创造了可能,在提⾼肿瘤控制率的同时,⼤幅降低放疗的副作⽤。

Request a demo
我们希望确保您以最佳方式使用我们的网站,并不断改进我们的网站。因此,我们与选定的合作伙伴(例如Pardot,Matomo)合作。您可以随时撤销您的自愿同意。您可以在"配置" 和我们的 数据保护信息中找到更多信息和设置选项。

全球首台高场强磁共振引导放射治疗系统
作为放疗领域的创新先锋和领导者之一, Elekta Unity通过创新性的将⾼场磁共振和滑环式直线加速器进⾏等中⼼融合,开创了通过⾼场磁共振引导实时⾃适应治疗技术(MRgRT)治疗肿瘤的新规范,并为“难治性肿瘤”的治疗创造了可能,在提⾼肿瘤控制率的同时,⼤幅降低放疗的副作⽤。


Elekta Unity适用于治疗人体适合放射治疗的病症,完成由高场磁共振影像引导的常规、立体定向或立体定向放射外科模式的实时自适应治疗(MRgRT),具体的适应症由临床医生确定。由于高场磁共振影像的软组织分辨能力,与常规X-射线影像引导技术相比,具有治疗更加精确、安全、和个性化调整的优势。在对头颈、胸腹、消化系统、泌尿系统、妇科、孤立寡转移等全身多个部位的肿瘤和儿童肿瘤的治疗具备显著的优势,特别适用于难治性肿瘤和有功能保留要求的根治性治疗,而治疗全程实时的磁共振实时监控性,极大的提高了医护人员的治疗信心,可更安全的开展立体定向放射外科治疗。


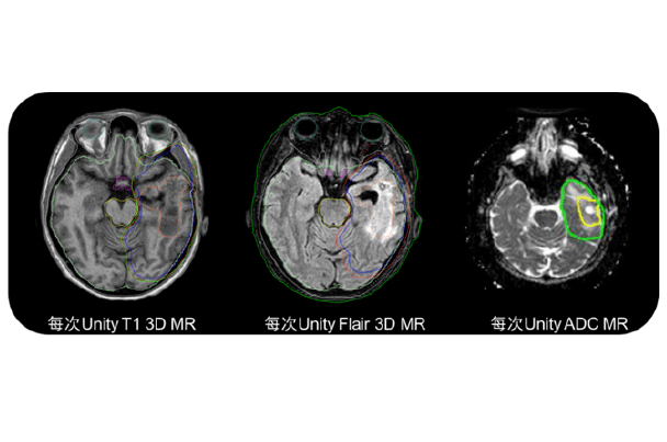
磁共振脑组织成像比传统X线或CT成像模式相比,肿瘤自身和周围健康脑组织成像分辨更高,多模态成像结合让靶区勾画更加精准,投照更加精确,对健康脑组织保护更加。治疗过程中可针对肿瘤变化,采用不同的扫描序列成像知道自适应治疗方案调整。未来的磁共振功能成像技术也为后续治疗方案的设定提供指导依据。

如鼻咽癌,首选放疗,疗效好,但是如果剂量分布不理想,会给病人带来不同程度的急性和晚期并发症,因此,头颈部肿瘤最适合做调强放疗。图像引导的调强放疗已被多家临床医院证实最容易满足和实现RTOG相关要求,并且实施非常简便。适形度和均匀度都位居目前放疗各种手段之榜首。

对于脊髓、肺部的保护非常好。用每天的磁共振影像监控解剖结构和位置。在肿瘤变化后可以进行自适应放疗,做相应的计划调整。

调强放疗提高了剂量的均匀性,减少冠脉、同侧肺、对侧乳腺的照射量。较常规加速器的调强放疗有明显的优越性。高精度的磁共振图像引导将进一步提高乳腺癌放疗的效率和质量。

基于呼吸运动管理的调强放疗提高了剂量均匀性,减少了对正常肺组织的照射剂量。剂量、时间和效率远远优于常规调强。对于纵隔和周围肺不张的良好分辨率,可以更精准的治疗边界,同时降低周围健康组织毒性。

原先复杂的肝脏和胰腺肿瘤由于图像引导可视性差都不太适合进行放疗。由于高精度磁共振图像引导可无创的分辨肿瘤和危及器官,使用实时自适应放疗技术,确保剂量学准确投射,对肝、肾、肠道等器官有比较好的保护。

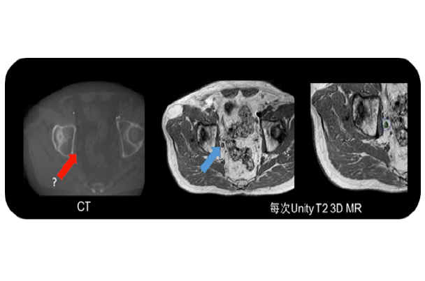
随着生活水平的提高,前列腺癌大发病逐渐上升,剂量学研究和初步的临床实践已经显示调强是当今放疗前列腺癌的最好照射技术,有广泛的应用前景,磁共振引导技术可以更好的对前列腺组织进行分辨,可以进行功能保留行治疗及肿瘤消融治疗,同时磁共振功能成像技术也为治疗疗效提供生物学依据。

利用磁共振引导的调强治疗技术能够对更加精确的对肿瘤及周围淋巴结进行精确的放射治疗。

磁共振实时成像可动态监测由于膀胱充盈不同或肠道蠕动带来的靶区位置形状改变,并进行自适应计划调整,更好的提高靶区剂量覆盖。

磁共振成像可高精度显示寡转移灶,为靶区精确投照提供影像学定位,开展放射消融治疗。

近一个世纪以来,放射治疗一直用于治疗部分儿科的肿瘤。没有理由相信儿科肿瘤可能会因为他们的肿瘤的大小或生物学效应会影响Unity治疗的安全性或有效性,因而Unity可用于治疗儿科疾病。Unity上市后已治疗了数例儿科肿瘤,包括脑干胶质瘤、尾骨旁卵黄囊瘤、尤因肉瘤及威尔姆斯肿瘤。与成人患者适应症评估一样,具体患儿是否合适使用Unity治疗需首先考虑磁共振检查的安全性。磁共振检查是成熟的医疗技术,对儿科患者的检查安全已有可遵循的临床规范。儿科放射治疗的主要顾忌是正常组织受到放射剂量可能影响患儿的发育及将来引发二次恶性肿瘤。与使用常规加速器相比,Unity治疗除了因提高靶区定位的准确性而减少正常组织的剂量之外,由于磁共振影像不产生辐射剂量,使用磁共振影像引导可使患儿避免因影像剂量受到伤害。